시술 전/후 갤러리

치아교정

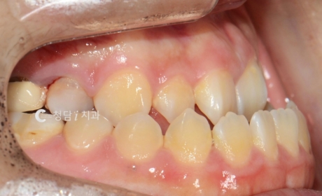
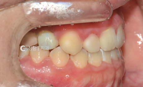
상악만 발치로 오픈바이트, 삐뚤빼뚤한 치열 교정한 사례

오픈바이트와 삐뚤빼뚤한 치열을 동반한 환자로, 웃을 때 앞니가 닿지 않고 상악 치열이 돌출된 상태였습니다. 정밀 진단 후 하악은 유지하고, 공간 확보와 전치부 배열 개선을 위해 상악 소구치만 발치를 진행하였습니다. 치료 후 앞니가 정상적으로 맞물리며 오픈바이트가 개선되었고, 치열도 가지런해져 심미성과 기능이 함께 회복되었습니다.

치아교정

고르지 않은 치열 발치 후 교정 사례

의정부 치아교정치과 청담i치과에서는 치열이 고르지 않고 덧니와 겹침이 심한 경우, 정밀 진단을 통해 발치 교정을 진행하고 있습니다. 다음 사례는 배열이 삐뚤빼뚤해 웃을 때 치아가 고르게 보이지 않던 환자분의 교정 전후 변화입니다. 교정 전에는 치아가 겹쳐 배열되어 스마일 라인이 고르지 않고, 웃을 때 치열이 복잡해 보이는 인상이었습니다. 공간 부족으로 인해 칫솔질이 어려워 구강 관리에도 불편함을 느끼고 […]

치아교정

상악 발치로 개선한 과개교합 교정 전후 사례

윗니가 아랫니를 많이 덮는 과개교합은 턱관절에 부담을 주고, 웃을 때 답답한 인상을 줄 수 있습니다.위 환자분은 윗니가 아랫니를 절반 이상 덮는 과개교합으로 내원하셨습니다. 청담i치과에서는 상악(윗니) 부분 발치 후 교정 치료를 진행했습니다. 교정 전: 아랫니가 거의 보이지 않을 정도로 덮여 있던 상태교정 후: 위아래 치아가 자연스럽게 맞물리며, 가지런하고 단정해보입니다.

치아교정

발치 교정으로 돌출입 개선, 조화로운 옆모습 완성

돌출입으로 입술이 앞으로 나온 인상을 보였던 환자분이 발치 교정을 통해 입이 들어가고, 조화로운 옆모습과 가지런한 치열을 얻었습니다.

치아교정

앞니 돌출 및 정중선 틀어짐, 앞니 부분교정 사례

정중선이 어긋나 있고 가운데 앞니가 돌출되면서 옆으로 틀어져 있던 환자분 부분교정 사례입니다. 전체 교정이 아닌 앞니 부분교정으로 진행하여 부담을 줄이면서도 심미적으로 개선할 수 있었는데요.치아 배열이 가지런해지고 돌출된 앞니가 바로잡히면서 훨씬 자연스럽고 조화로운 미소를 찾을 수 있었습니다.

임플란트, 치아교정

선천적 앞니 결손, 교정과 임플란트로 개선한 케이스 – 의정부교정치과 청담i 사례

선천적으로 작은 앞니 1개가 결손된 환자분이 내원하셨습니다. 결손 부위에는 송곳니가 위치해 있어 심미적으로도 불균형이 있었지요. 교정치료를 통해 송곳니를 제 위치인 뒤쪽으로 이동시킨 후, 비어있는 공간에 작은 앞니 임플란트를 식립하여 자연스러운 배열과 스마일 라인을 완성하였습니다. 교정과 임플란트를 함께 진행한 덕분에 기능적, 심미적으로 모두 만족스러운 결과를 얻을 수 있었습니다.

임플란트, 치아교정

남이있는 유치 발치 후 임플란트, 치아교정 사례

선천적으로 양쪽 작은 어금니 영구치가 없어 그 자리에 유치 어금니가 그대로 남아있던 케이스입니다. 악궁도 반듯하지 않고 비대칭으로 틀어져있었는데요, 잔존 유치 발치 후 치아교정과 함께 작은 어금니를 대신해줄 임플란트를 식립해드렸습니다.

치아교정

돌출과 치아 사이 빈 공간 해결, 비발치 교정 사례

약간의 돌출된 입과 작은 어금니가 없어 생긴 치아 사이의 틈이 고민이었던 환자분의 사례입니다. 정밀진단 후 발치 없이 치열을 가지런히 정리해 돌출과 치아 사이 빈 공간을 모두 해결해드렸습니다. 치아교정 후 스마일라인과 입매도 자연스럽게 개선되어 기능과 심미 모두 만족한 결과를 얻었습니다.

치아교정

앞니가 맞닿지 않는 오픈바이트, 비발치 치아교정 사례

앞니가 맞물리지 않는 오픈바이트 비발치 교정 사례입니다. 전체적인 치아 배열은 비교적 고른 편이어서 정밀진단 후 비발치 교정으로 치료 계획을 세웠습니다. ✔ 치료 전  앞니가 닿지 않아 음식이 잘 끊기지 않음 어금니만 닿는 상태라 턱관절에도 무리가 가는 중 발음과 외모에 대한 스트레스 ✔ 치료 후 변화 뜨던 앞니가 닿게 되어 음식 섭취가 훨씬 편해짐 턱에 가해지는 부담 감소 보다 안정된 […]

치아교정

돌출입 발치 교정 사례

돌출입 발치 교정으로 균형 잡힌 안모 개선한 사례입니다. 치아 배열뿐 아니라 입술 돌출로 인한 안모 라인까지 개선한 케이스로 발치를 동반한 치아교정을 통해 더욱 조화롭고 입체적인 얼굴 라인을 완성했습니다.

1 2 3 4 5 6 7 8

서체크기

100%