시술 전/후 갤러리

치아교정

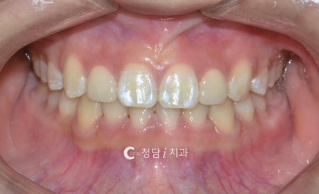
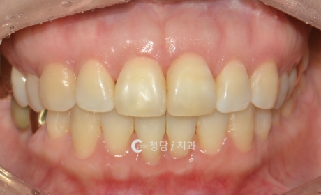
상악만 발치로 오픈바이트, 삐뚤빼뚤한 치열 교정한 사례

오픈바이트와 삐뚤빼뚤한 치열을 동반한 환자로, 웃을 때 앞니가 닿지 않고 상악 치열이 돌출된 상태였습니다. 정밀 진단 후 하악은 유지하고, 공간 확보와 전치부 배열 개선을 위해 상악 소구치만 발치를 진행하였습니다. 치료 후 앞니가 정상적으로 맞물리며 오픈바이트가 개선되었고, 치열도 가지런해져 심미성과 기능이 함께 회복되었습니다.

일반진료

어금니 뒤쪽 치아파절, 치아색 인레이로 자연스럽게 회복한 사례

환자분의 경우 어금니 후방부가 부분적으로 파절되었으나, 신경 손상은 없어 보존적 치료가 가능했습니다. 손상 범위를 정확히 진단한 후, 치아 색상과 유사한 세라믹 인레이 치료를 진행했습니다.인레이는 파절 부위를 정밀하게 복원해주어 씹는 기능 회복은 물론, 금속이 보이지 않아 심미성 또한 우수합니다.

일반진료

의정부 사랑니 4개 발치 사례

상, 하악 좌우 총 4개의 사랑니를 발치한 사례입니다. 3D CT 촬영을 통해 신경 위치 확인 후 안전하게 발치를 진행했습니다. 발치 후 출혈과 붓기를 최소화하고, 사후 관리가지 체계적으로 안내드려 큰 불편 없이 회복하실 수 있었습니다.

치아교정

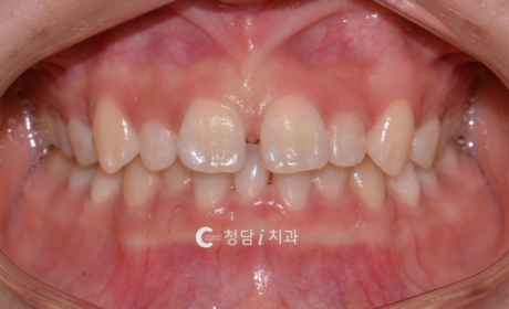
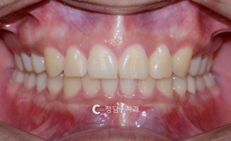
고르지 않은 치열 발치 후 교정 사례

의정부 치아교정치과 청담i치과에서는 치열이 고르지 않고 덧니와 겹침이 심한 경우, 정밀 진단을 통해 발치 교정을 진행하고 있습니다. 다음 사례는 배열이 삐뚤빼뚤해 웃을 때 치아가 고르게 보이지 않던 환자분의 교정 전후 변화입니다. 교정 전에는 치아가 겹쳐 배열되어 스마일 라인이 고르지 않고, 웃을 때 치열이 복잡해 보이는 인상이었습니다. 공간 부족으로 인해 칫솔질이 어려워 구강 관리에도 불편함을 느끼고 […]

치아교정

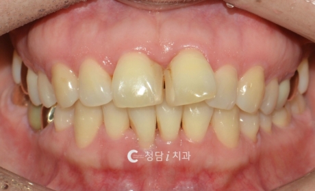
상악 발치로 개선한 과개교합 교정 전후 사례

윗니가 아랫니를 많이 덮는 과개교합은 턱관절에 부담을 주고, 웃을 때 답답한 인상을 줄 수 있습니다.위 환자분은 윗니가 아랫니를 절반 이상 덮는 과개교합으로 내원하셨습니다. 청담i치과에서는 상악(윗니) 부분 발치 후 교정 치료를 진행했습니다. 교정 전: 아랫니가 거의 보이지 않을 정도로 덮여 있던 상태교정 후: 위아래 치아가 자연스럽게 맞물리며, 가지런하고 단정해보입니다.

치아교정

발치 교정으로 돌출입 개선, 조화로운 옆모습 완성

돌출입으로 입술이 앞으로 나온 인상을 보였던 환자분이 발치 교정을 통해 입이 들어가고, 조화로운 옆모습과 가지런한 치열을 얻었습니다.

치아교정

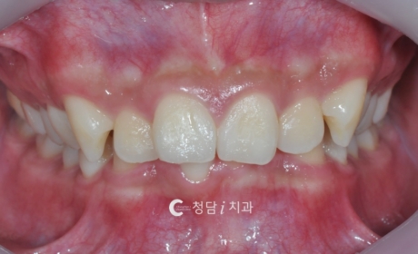
앞니 돌출 및 정중선 틀어짐, 앞니 부분교정 사례

정중선이 어긋나 있고 가운데 앞니가 돌출되면서 옆으로 틀어져 있던 환자분 부분교정 사례입니다. 전체 교정이 아닌 앞니 부분교정으로 진행하여 부담을 줄이면서도 심미적으로 개선할 수 있었는데요.치아 배열이 가지런해지고 돌출된 앞니가 바로잡히면서 훨씬 자연스럽고 조화로운 미소를 찾을 수 있었습니다.

일반진료

육안으로 잘 안보이는 어금니 뒤쪽 충치 치료와 어금니 임플란트

이번 케이스는 씹는 면에서는 잘 확인되지 않는, 치아의 뒤쪽 면 충치치료 사례입니다.  치과에서 자세히 검진을 하기 전에는 스스로 쉽게 발견하기 어려운 위치에 있는 뒤쪽면 충치입니다. 검진 시 엑스레이 검사를 통해 충치가 많이 진행된 사실을 확인하였는데요.  이 부위는 기구가 잘 닿지 않아 치료가 까다로운 부위였습니다. 최대한 치아를 보존하기 위한 방향으로 치료 후 크라운으로 씌워드렸습니다. 바로 앞 어금니는 […]

임플란트, 치아교정

선천적 앞니 결손, 교정과 임플란트로 개선한 케이스 – 의정부교정치과 청담i 사례

선천적으로 작은 앞니 1개가 결손된 환자분이 내원하셨습니다. 결손 부위에는 송곳니가 위치해 있어 심미적으로도 불균형이 있었지요. 교정치료를 통해 송곳니를 제 위치인 뒤쪽으로 이동시킨 후, 비어있는 공간에 작은 앞니 임플란트를 식립하여 자연스러운 배열과 스마일 라인을 완성하였습니다. 교정과 임플란트를 함께 진행한 덕분에 기능적, 심미적으로 모두 만족스러운 결과를 얻을 수 있었습니다.

일반진료, 임플란트

충치 치료와 임플란트 사례

심하게 썩어 뿌리만 남은 치아는 발치 후 임플란트로 대체하고,옆의 충치 치아는 자연치와 유사한 색상의 인레이 치료를 함께 진행했습니다. 기능은 물론 심미성까지 고려해, 자연스럽고 편안한 씹는 힘을 되찾았습니다.

1 2 3 4 5 6 7 8 9 23

서체크기

100%